Lady Passenger Suffers Injury After Being Hit by Stray Bullet While Riding Jeepney
A lady passenger was hit by a stray bullet while riding a public jeepney in Barangay Tagpos, Binangonan, Rizal.
The incident happened on December 5 in Barangay Tagpos, Binangonan, as 26-year-old Claudette Jacobo was on her way to work at a printing shop.
While seated inside the jeepney, Claudette suddenly felt a hard hit on her back. At first, she thought someone had thrown a stone at her. After a few minutes, the area became numb, so she reached into her bag for a cloth and wiped her back.

The passenger was shocked when she saw blood and feared that she had been stabbed with a sharp object. The jeepney driver quickly brought her to a nearby police outpost, where she was later rushed to the hospital.
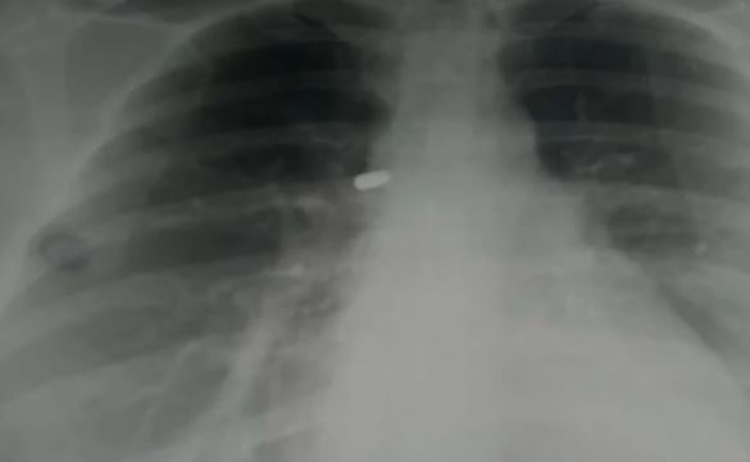
Doctors then discovered that she was not stabbed at all but was actually hit by a pellet-shaped bullet. The bullet is still lodged in her back, and doctors have not yet removed it because of its sensitive position.
For now, she has been given medicine, including an anti-tetanus shot, while waiting for the safest time for surgery.

Claudette is now having difficulty moving, and the injury has affected her ability to work and care for her two children. Despite her pain and fear, she expressed forgiveness toward the person responsible and hopes that whoever fired the gun will step forward to help with her medical expenses. If no one comes forward, she may have no choice but to file a case.
Police said they need to recover the bullet to identify who fired the gun and determine what type of firearm was used. If the gun is proven to be unregistered, the person responsible may face charges for illegal possession and illegal discharge of a firearm.
The Rizal Police are reminding gun owners to avoid careless firing, especially during the Christmas season and New Year celebrations, to keep everyone safe.
In another post, a student partied for four days unaware of stray bullet in his head
The social media users expressed their reactions to the post:

